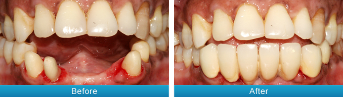
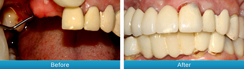
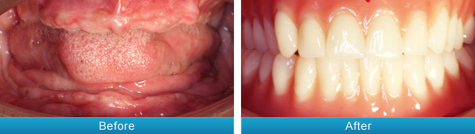
Remarkable !!! I just called up my general doctor and told him that now everyone can get their mouth ulcers painfree in 10 minutes and not 7 days. My thanks to SmilesIndia
One of my most amazing experiences has been at Smiles India where I was advised to get my wisdom teeth extracted under conscious sedation.